Reveal your skin’s natural clarity and confidence with SkinPen Precision, a clinically proven treatment designed to rejuvenate and repair. From acne scars and stretch marks to fine lines, wrinkles, enlarged pores, and uneven skin tone, SkinPen helps restore smoother, healthier, and more radiant skin.
Introduction to Acne Scars
Ice Pick Scars
Deep pits (usually less than 2mm across).
Extend into the skin, giving the skin an appearance of having been punctured by an ice pick.

Boxcar Scars
Angular scars with sharp vertical edges
May be shallow or deep
Most often found on the cheeks and temples.

Rolling Scars
Caused by damage under the surface of the skin
Give the skin a wave-like appearance.
Tend to be wide and shallow.

Mechanism of Action:
- Mechanically breaks down scar tissue.
- Activates cellular enzymes known as matrix metalloproteinases, or MMPs.
- Remodels scar tissue through the proper deposition of collagen and elastin.
- Addresses the red and purple discoloration associated with acne scars by increasing blood flow.
- Addresses the brown discolorations, or post inflammatory hyperpigmentation (PIH), associated with acne scars by stimulating the skin’s natural growth factors.
Female | Procedures: 6 Photos courtesy of: Cathy A. Presnick, Licensed Aesthetician; A Perfect Complexion, LLC, Melbourne, FL

BEFORE

AFTER
Introduction to Dyschromia
Mottled Hyperpigmented Lesions/Patches
Common skin condition with unknown pathogenesis
Associated with solar and hormonallystimulated melanocytes (increasing melanocyte stimulation hormone, MSH) causing uneven increases in facial melanin.
More commonly found in races with higher pigmentation but can occur in all skin types.

Pigmentation Conditions
Solar lentigines occur due to excessive production of melanin pigment which results from overexposure to UV rays from the sunlight or tanning beds

Hypopigmented Patches
Hypopigmented patches occurs when pigment-producing cells (melanocytes) die or stop producing melanin.
The involved patches of skin become lighter or white. It’s unclear exactly what causes these pigment cells to fail
or die.
It may result from an autoimmune disorder, hereditary factors, or trigger events like stress, sunburn, or chemical-induced skin trauma.

Mottled Hyperpigmented Lesions/Patches
Mechanism of Action:
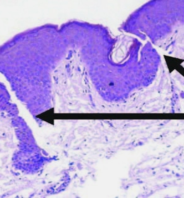
- Induce keratinocyte turnover and “restore” the normal pigment activity of melanocytes in over pigmented areas.
- This occurs at the dermal-epidermal junction (DEJ).
- This DEJ-shallow dermis area is the target depth to microneedle. See arrows where microchannels are formed

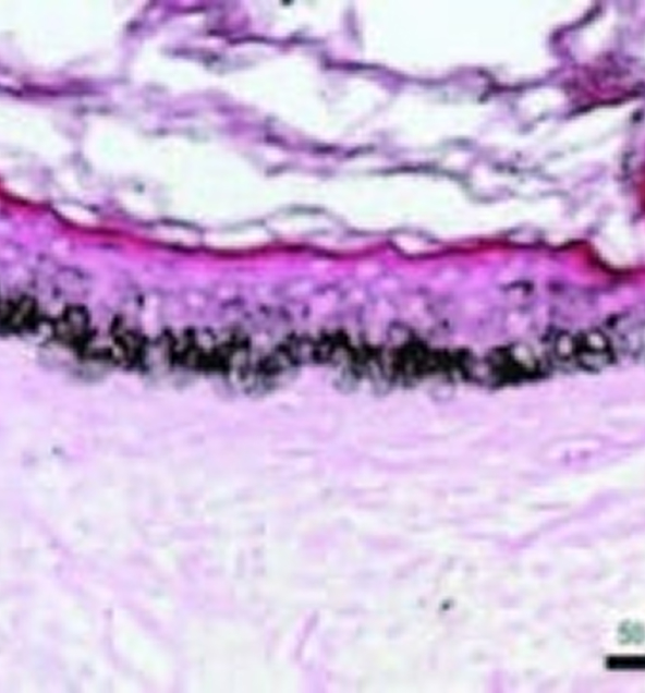
Epidermal melanin density in melasma before procedure

Reduction in epidermal melanin density 1 week after microneedling procedure

Before

After
Pigmentation Conditions
Mechanism of Action:
- Induce keratinocyte turnover and “restore” the normal pigment activity of melanocytes in over pigmented areas.
- This occurs at the dermal-epidermal junction (DEJ).
- This DEJ-shallow dermis area is the target depth to microneedle. See arrows where microchannels are formed
Hypopigmented Patches
Mechanism of Action:
- Induce the activation, migration, and/or proliferation of melanocytes into hypopigmented areas at the dermal-epidermal(DEJ). This shallow dermis area is the target depth.
- Also, mechanical trauma stimulates the melanocytes migration from the pigmented areas to unpigmented areas.
- Microneedling may increase the number of pigment cells and stimulate more pigment production
- Studies in literature indicate that 6 or more treatments may be necessary to begin to see improvement

Stimulates melanocyte migration to restore pigment and smooth rolling scars.

Microchannels provide space for melanocytes to migrate into non-pigment areas
Introduction to Surgical Scars
Each year in the developed world 100 million patients acquire scars, some of which cause considerable problems, as a result of 55 million elective operations and 25 million operations after trauma. There are an estimated 11 million keloid scars and four million burn scars, 70% of which occur in children.
Hypertrophic Scars
Excessive collagen deposits appear raised, but not to the degree observed with keloids

Keloid Scar
Can appear as a firm, rubbery lesion or shiny,
fibrous nodules

Contracture Scars
Are characterized by extremely tight skin that can restrict your ability to move

Mechanism of Action:
- Mechanically breaks down scar tissue.
- Activates cellular enzymes known as matrix metalloproteinases, or MMPs.
- Remodels scar tissue through the proper deposition of collagen and elastin.
Global Assessment Score = 4. Alster, Tina S. M.D.; Li, Monica Ka Yi M.D. Microneedling of Scars: A Large Prospective Study with Long-Term Follow-Up, Plastic and Reconstructive Surgery: February 2020 – Volume 145 – Issue 2 – p 358-364 doi: 10.1097/PRS.0000000000006462

Surgical scar on the nose before

6 months after two microneedling treatments.
Introduction to Stretch Marks
Stretch marks can be caused by an overextension of the skin. Can be found on men and women but 2x more frequent on women. There is little evidence for avoidance other than well moisturized skin. Stretch marks tend to start as red discoloration and age to atrophic white stretch marks
Normal Skin
Smooth and elastic with intact collagen and elastin fibers maintaining firmness and structure.

Striae Rubrae
Early red or pink stretch marks caused by dermal tearing and inflammation with visible blood vessels.

Striae Albae
Mature white stretch marks where collagen remodeling leads to thinning and loss of pigmentation.

Mechanism of Action:
- Promotes removal of old damaged collagen
- Induces keratinocytes proliferation that releases growth factors to promote collagen deposition by the fibroblasts and elastin deposition
- Modulates the expression of several genes in the skin (vascular endothelial growth factor, fibroblast growth factor, epidermal growth factor, collagen type I and III) that promote extracellular matrix remodeling
Kui Young Park et al. Dermatol Surg 2012;38:1823–1828

Before

After
Introduction to Fine Lines and Wrinkles
Considered a part of the aging process of the skin. This aging process is accompanied with structural and functional changes in extracellular matrix components such as collagen and elastin which can result in the appearance of fine lines and wrinkles.

Zhang, S., & Duan, E. (2018). Fighting against Skin Aging: The Way from Bench to Bedside. Cell transplantation, 27(5), 729–738. https://doi.org/10.1177/0963689717725755 7
Mechanism of Action:
- Promotes removal of old damaged collagen
- Induces keratinocytes proliferation that releases growth factors to promote collagen deposition by the fibroblasts and elastin deposition
- Modulates the expression of several genes in the skin (vascular endothelial growth factor, fibroblast growth factor, epidermal growth factor, collagen type I and III) that promote extracellular matrix remodeling
Female, Age: 66, Procedures: 2. Photos courtesy of Christina Clarke, Registered Nurse Bio-Health & Aesthetics, Mount Pleasant, SC

Before

After
Introduction to Enlarged Pores
Enlarged skin pores are visible surface irregularities caused by high sebum production, reduced elasticity, increased follicle size, and factors like acne, hormones, and skincare habits.

Crown Clinic, Mona Alqam, MD.
Mechanism of Action:
- Promotes removal of old damaged collagen
- Induces keratinocytes proliferation that releases growth factors to promote collagen deposition by the fibroblasts and elastin deposition
- Modulates the expression of several genes in the skin (vascular endothelial growth factor, fibroblast growth factor, epidermal growth factor, collagen type I and III) that promote extracellular matrix remodeling
Female, Procedures: 4. Crown Clinic, Mona Alqam, MD.

Before

After
